Muskeltræning
|
Herunder kan I finde:
1. Muskler 4. Programmer med træningskort (sammensæt selv dine øvelser - lige til at printe ud!) 5. Tests |
|
Skelettets muskler udspringer og hæfter på skelettets knogler og omkring skelettets LED - her albueleddet: Når en muskel trækker sig sammen bevæges leddet, armen bøjes (kontraktion) eller strækkes (ekstension). Musklerne arbejder altid sammen i grupper (synergier), herunder er det primært armbøjeren/biceps der bøjer armen men en bevægelse foretages altid i et samspil mellem flere muskler. På samme måde arbejder musklerne/muskelgrupperne sammen om modsatrettede bevægelser: Armbøjeren arbejder sammen med armstrækkeres/tricps, som foretager den modsatrettede bevægelse: Man kalder den aktive muskel for agonisten, og dens passive modsatrettede makker for antagonisten. I træningssammenhænge bør man altid tænke på at træne symmetrisk, populært sagt - både forside og bagside. På den måde sikrer man en ensartet belastning på knogler og led.
De store muskelgrupper kan studeres under anatomi |

|
Musklernes bevægelser (sammentrækninger) reguleres og justeres gennem et omfattende og fint netværk - nervesystemet, som skaber forbindelse mellem hjernen, den forlængede rygmarv og de enkelte muskelfibre (en muskelfiber = en muskelcelle). Samspillet mellem nerve og muskelfiber kaldes en motorisk enhed. |

|
Samspillet mellem nerver og muskler, det neuromuskulære samspil, er fundamentalt for musklens effektivitet eller præstationsevne. Nye bevægelser eller generelt nye krav til musklerne kræver først og fremmest træning af det neuromuskulære samspil: Vi oplever i begyndelsen, at vi bruger meget mere energi og hjerneaktivitet end ellers, før vi behersker fx nye bevægelsesmønstre. Først efter mange, mange gentagelser automatiseres bevægelserne (vi behøver ikke involverer højere niveauer af hjernen), og kroppen bliver bedre til at økonomisere energiforbruget (vi spænder ikke i de forkerte muskler). Groft sagt: det, der adskiller "den gode tekniker" fra os andre, er antallet af gentagelser. |
|
Skeletmuskulaturen kaldes også den tværstribede muskulatur: |

|
Det er ikke så svært at forstå hvorfor, på billedet kan du se, at en forstørrelse af en to muskelfibre. På langs af fibrene løber en masse bånd. Disse bånd fungerer som en harmonika - de kan trækkes sammen og fra hinanden. |

|
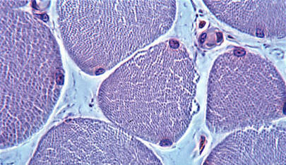
Herover ser du et tværsnit af en muskel. De enkelte muskelfibre er samlet i nogle større bundter. Bundterne er bundet sammen af senevæv. De små runde, mørke strukturer er blodårer (arterier eller vener). På samme måde er hele musklen pakket ind i senevæv. Det er dette senevæv - eller muskelsene - der hæfter musklen til knoglerne. |
![]()
|
Den enkelte muskelfiber består atter af bundter af myofibriller. På myofibriller kan man tydelig se de føromtalte bånd. Mellem to bånd har vi en enhed, en sarkomer. På båndene, z-båndene hæfter en række tynde proteintråde, aktin, og mellem disse tråde ligger en række tykke proteintråde, myosin. Myosinet hæfter på et tyndere bånd i midten af sarkomeren, m-båndet. Myosintrådene er dækket af små klæbehoveder, myosinhoveder, som kan gribe fat i aktinet, og trække disse tråde ind over sig: Hele sarcomeret trækkes sammen.
Det kan virke af lidt, men taget mængden af sarkomerer i betragtning, giver det pludselig mening, hvordan en muskel halvere sig længde ved en sammentrækning. |
![]()
|
Muskeltræning har to poler og et bredt midterfelt: På den ene side taler man om muskelstyrke, som betegner musklernes evne til at udvikle spænding, så de kan overvinde stadig større belastninger. På den anden side bruger vi begrebet muskeludholdenhed, som betegner musklernes evne til at overvinde større eller mindre modstande igennem længere tid. Allerede her anes gråzonen, for jo større modstand der arbejdes med, desto mere nærmere vi os begrebet om styrke og jo mindre modstand der arbejdes med, desto mere nærmer vi os begrebet udholdenhed.
I begge tilfælde kan musklerne trænes statisk eller dynamisk: Statisk betyder stillestående, og her musklen aktiv, men uden at leddet hverken bøjes eller strækkes. Dynamisk betegner en bevægelse, det led musklen spænder over bøjes og/eller strækkes.
|
Se generelt om metode

|
Man kan træne fem forskellige kvaliteter ved musklerne:
|

|
Udover at følge træningsanvisningerne i skemaet, findes der forskellige former, man kan variere sin træning inden for forskellige opbygninger, fx:
|
|
Her kan du finde enkle forslag til træningsprogrammer baseret på Motion-onlines træningskort. Ideen er at du udprinter et program og finder de træningskort der hører til.
Programmer til træning med egen kropsvægt Man bruger systemet ved at finde de øvelser man vil bruge og printe dem ud. I øverste højre hjørne på hvert kort er der plads til at skrive et nummer, så det er lettere at huske den planlagte rækkefølge af øvelserne. Sedlerne placeres på træningsstedet alt efter hvordan træningen skal afvikles.
Øvelser med egen kropsvægt som belastning: 5. Mavebøjninger - løftede ben 7. Mavebøjninger - med benløft 9. Foldekniv 10. Benløft 13. Diagonalløft 14. Rygstrækninger 15. Rygstrækninger - med benløft 16. Benløft - bagud 18. Chin-ups 20. Chin-ups - en arms (med snyd) 21. Englehop 22. Burpees 24. Reaktionsøvelse 25. Hælspark 26. Knæ-hop 27. Knæløft 29. Sprællemand 30. Checkmark 31. Sjiip 33. Step-ups
|
TESTNING AF MUSKELSTYRKE
|
Der er mange forskellige måder at måle muskelstyrke på. Her er vist en test der kaldes "sargent jump". Ved at regulere hvor højt en person kan hoppe, fås et mål for benmusklernes dynamiske styrke. Muskelstyrken målt på denne måde er helt uafhængig af personens højde. |

TESTNING AF MUSKELUDHOLDENHED
|
Igen findes der mange forskellige typer af test. Herunder er vist en test, der måler rygmusklernes stationære udholdenhed, som er den tid en bestemt muskelspænding kan holdes. Muskeludholdenheden i rygmusklerne måles ved at registrere, hvor længe kroppen kan holdes vandret. En kort, let overkrop er en fordel i denne test. |
